빠른 상담

궁금하신 사항을 아래 문의 내용에 입력해주시면
보다 빠르게 전화로 상담을 도와드립니다

이름
연락처
문의내용

골든타임이 중요한

월드플란트 잇몸치료

WORLDPLANT DENTAL CLINIC

행복한 미래를 위한

잇몸치료

  • 치은박리
    소파술

    잇몸 안쪽 보이지 않는 공간의
    치주질환까지 깨끗하게!

  • 잇몸
    이식

    본래의 잇몸라인을
    되찾을 수 있는 방법!

  • 치주조직
    재생

    상실된 잇몸과 치조골을
    원래 상태대로!


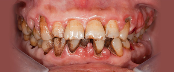
치은박리소파술

치은박리소파술이 필요한 경우

치주질환은 양치 시 잇몸에서 피가 나는 정도의 치은염 상태에서
더 악화되면 잇몸이 붓고 근질근질하고 이가 시린 상태가 되며
치주염 말기가 되면 이가 흔들리고 딱딱한 것을 씹지 못하게 됩니다.

월드플란트치과에서는 질환 진행정도와 개인차를 진단해 그에 맞춘
치주질환 치료를 진행하며, 치은박리소파술은 치주 질환이 중등도 이상
단계이며 치주조직이 광범위하게 퍼져 있을 때 주로 시행합니다.

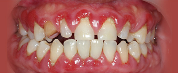
  • 치은염
    치은염 잇몸표면 연조직에만 염증이 발생

    - 잇몸이 평소보다 빨갛거나 진하다
    - 잇몸이 붓거나 두꺼워진다
    - 잇몸에서 출혈이 발생한다

  • 치주염
    잇몸과 잇몸뼈 주변까지 염증이 발생

    - 해당부위에서 냄새가 납니다
    - 치아와 잇몸 사이에서 고름이 나온다
    - 음식물을 씹을 때 통증이 있고 불편하다
    - 치아가 흔들리거나 심한 경우 빠진다


잇몸이식

잇몸이식이란 잇몸이 많이 내려간 경우 원래 잇몸라인까지 재생시키는걸 목표로
다른 부위에서 잇몸을 제거하여 잇몸이 소실된 부분에 이식하는 방법니다.

잇몸이 내려가는 이유

평소 올바른 방법으로 구강을 관리해
잇몸이 내려가지 않도록 예방하는 것이 우선입니다.
  • 선천적으로 잇몸이 약한 경우
  • 이갈이 습관을 가지고 있는 경우
  • 부정교합이 있는 경우
  • 잘못된 칫솔질을 하는 경우

잇몸이식 방법

잇몸조직이 풍부한 입천장 부위에서 잇몸조직을 채취하여
잇몸이 소실된 부위에 이식합니다.

이식된 잇몸이 이식부위에 잘 생착되어 재생이 되어야 하기 때문에
매우 섬세한 기술과 풍부한 노하우가 필요합니다.


치주조직재생술

치주질환 치료 후 치아 뿌리의 면과 인접한 다른 조직의 구성성분을 차단막으로 분리하여
치주인대를 형성하는 세포만 재분포 시켜 재생을 도모하는 술식입니다.
즉, 상실된 잇몸과 치조골 등을 원래 상태로 회복시켜주는 치료법입니다.
치아가 흔들리거나 뽑히지 않고 단단히 박혀 있기 위해서는 잇몸뼈가 튼튼해야 하기 때문에 잇몸뼈 재생에 초점을 맞춰 시술합니다.

치주조직재생술의 장점

  • 잇몸뼈와 잇몸 조직의 재생을 촉진합니다.
  • 잇몸 틈새의 깊이를 감소시켜 외관상의 문제 및 치아질환을 예방할 수 있습니다.
  • 길어진 치아의 길이를 제자리로 돌려 치아건강을 되찾을 수 있습니다.
  • 치아의 시린 증상이 완화됩니다.
진료안내
055.715.2828
월드플란트치과의원 대표자 김철웅 주소 경상남도 창원시 성산구 중앙대로 100번길 9, 4층 401호 대표전화 055.715.2828 사업자등록번호 582-62-00664
COPYRIGHTⓒ 2024 WORLDPLANT DENTAL CLINIC. ALL RIGHTS RESERVED.
진료시간 일요일 및 공휴일 휴진
월 / 수 / 금
오전 09:30 ~ 오후 06:30
( 점심시간 오후 12:30 ~ 오후 02:00 )
화 / 목(야간)
오전 09:30 ~ 오후 08:00
( 점심시간 오후 12:30 ~ 오후 02:00 )
토 요 일
오전 09:30 ~ 오후 02:00

빠른 상담신청

[보기]